自新冠病毒出现在公众视野中,我们都在持续地关注着人体感染这一病毒后的各种危害。不过,最新一期《英国血液学杂志》(British Journal of Haematology)报道的一个案例,却让人感到神奇:一名罹患淋巴癌和肾脏病的61岁男子,此前确诊感染新冠肺炎,短暂住院后回家休养。四个月后他回到医院复查,结果发现体内的新冠病毒消失了,癌症居然也痊愈了。

据报道,男子患有严重的肾衰竭,需要长期进行透析治疗。三年前,他有幸得到合适的肾源,得以接受肾移植手术。然而天不遂人愿,他的这次手术失败了。
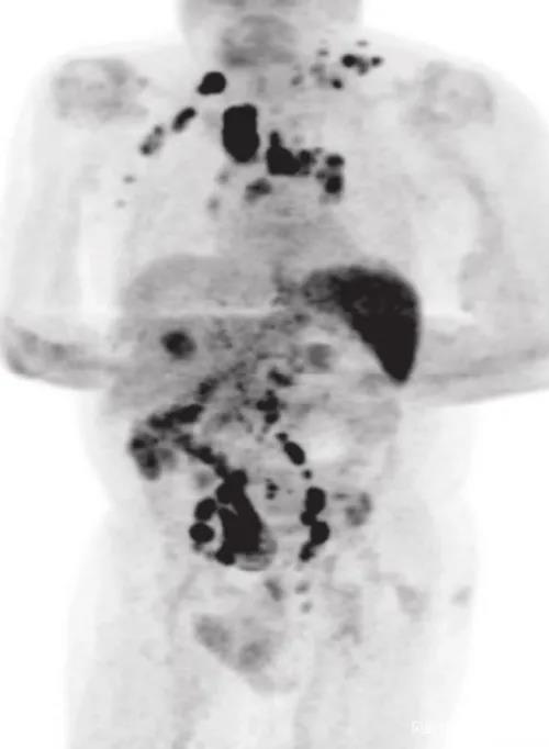
此后,男子停止了一切免疫治疗,带着病痛生活。2020年年中,男子的身体突然之间暴瘦,并且全身淋巴结肿大,他赶紧到医院检查,结果确诊罹患经典型霍奇淋巴瘤,PET-CT扫描提示疾病分期为3期。霍奇淋巴瘤是一种恶性肿瘤。也就是说,男子此时是一名癌症晚期患者。CT照片也显示,癌细胞扩散到了他身体的各个地方。
此后,男子停止了一切免疫治疗,带着病痛生活。2020年年中,男子的身体突然之间暴瘦,并且全身淋巴结肿大,他赶紧到医院检查,结果确诊罹患经典型霍奇淋巴瘤,PET-CT扫描提示疾病分期为3期。霍奇淋巴瘤是一种恶性肿瘤。也就是说,男子此时是一名癌症晚期患者。CT照片也显示,癌细胞扩散到了他身体的各个地方。

祸不单行,住院期间,他又出现了呼吸困难等症状。医院对其进行新冠病毒检测,同样呈阳性反应。

到此,男子的身上出现了三种疾病:末期肾衰竭,晚期癌变的霍奇金淋巴瘤,以及新冠肺炎。这任何一种疾病放在一位61岁老人的身上都是十分凶险的,不难想象他那时所承受的煎熬和病痛。住院11天后,男子的症状有所缓解,决定回家休养。或许在他看来,放弃治疗未尝不可。事实也是如此,男子在回到家后再也没有接受过任何皮质类固醇和免疫化疗。四个月后,男子回医院复查。PET-CT扫描却提示,他体内的大部分肿瘤竟然神奇地都消失了。更为夸张的是,与肿瘤有关的生物指标直接下降了约9成。反复检查后,医生们最终确认,男子的癌症痊愈了。而他的新冠检测也显示为阴性,男子体内的新冠病毒也消失了。

发生在男子身上的状况让研究人员感到不可思议。目前,研究人员推测认为,有可能是新冠病毒触发了人体抗肿瘤的免疫反应,作用机制包含病原体特异性T细胞和肿瘤抗原的交叉反应,且染疫所产生的细胞活化了杀手细胞。说得直接一点,新冠感染激活了抗肿瘤的免疫反应,在杀灭病毒的同时,也杀死了癌细胞。不过,研究人员还是补充指出,这并不代表新冠病毒可以治疗癌症,毕竟这样的案例十分少见。话说回来,关于医学上“以毒攻毒”的发现早已有之。1910年,意大利的一名宫颈癌患者在感染狂犬病毒后,体内肿瘤缩小消退。从那时起,科学家们便意识到,病毒或许可以成为治疗和拯救患者的“帮手”。这些年很热门的溶瘤病毒,就是科学家们尝试着对一些对人体损害比较小的病毒进行基因改造,使这些病毒能够特异性地攻击、破坏癌细胞,而对正常细胞损伤较小。这种“以毒攻毒”的疗法能为人类通过开发免疫系统潜力治愈癌症,提供新思路吗?